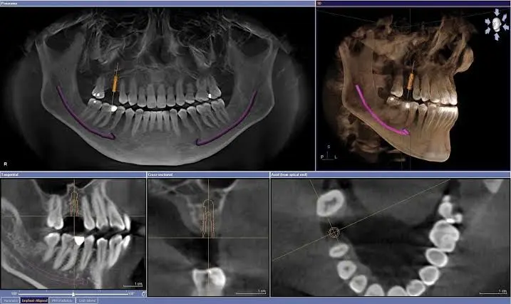
DVT Dental Tomografi Çekimi
Dental Implant Tedavisi
Genel Anestezi Altında Diş Tedavileri
Masseter Çene Botoksu
Zirkonyum Diş Kaplama
Gömülü 20 Yaş Diş Çekimi
Diş Beyazlatma Bleaching Uygulamaları
Gülüş Tasarımı ve Estetik
Diş Protezleri
DVT Dental Tomografi Çekimi
Genel Anestezi Altında Diş Tedavileri
Masseter Çene Botoksu
Gömülü Diş Çekimi
Diş Beyazlatma (Bleaching)
Çocuk Diş Hekimliği
Randevu Almak İçin Lütfen Bizi Arayın 0506 408 0681
Özel Akhisar Prestij Diş Kliniği
Kliniğimiz Yüksek Kaliteli Ağız ve Diş Sağlığı Hizmetlerini Akhisar ve Çevresine Tek Bir Çatı Altında Vermek Amacıyla 2022 Yılında Kuruldu. Özel Akhisar Prestij Ağız ve Diş Sağlığı Polikliniği Olarak Alanında Uzman Doktorlarımız ile İmplant Tedavileri, Gömük 20 Yaş Diş Çekimi, Botoks Tedavileri, Kist ve Tümör Tedavileri, Çene Eklemi Rahatsızlığı Tedavisi, Genel Anestezi Altında Diş Tedavileri, Gülüş Tasarımı, Zirkonyum Diş Kaplama, Lamine Diş Kaplama, Ortodonti ve Diş Teli Tedavileri, Diş Şeffaf Plak Uygulamaları, Kanal Tedavisi, Diş Protezi, Çocuk Diş Hekimliği, Pedodonti, Diş Eti Tedavileri, Periodontoloji, Diş Röntgen Görüntüleme Alanlarında Ağız ve Diş Sağlığına Ait Tüm Hizmetleri Sunmaktayız.
Hiçbir Zaman Gülmekten Çekinmeyin.
Prestij Diş Kliniği
Doktorlarımızla Tanışın
Yapılan çalışmalar diş hekimi kontrolünde yapılan diş beyazlatma sistemlerinin kullanımında hiçbir zarar olmadığını göstermiştir. Diş hekiminizin beyazlatma sonrası florür uygulamaları ile beyazlatma işlemi daha da güvenli bir işlem olmaktadır. Dişlere zarar veren, piyasada satılan denetimsiz beyazlatıcı ürünlerdir.
Bütün beyazlatma jelleri az veya çok hassasiyete sebep olabilir. Bu, kişiden kişiye değişebilir, soğuk veya sıcak içeceklerle birlikte gelişebilir. Hassasiyet durumunda diş hekiminin uygulayacağı topikal florür bu diş hassasiyetini azaltacaktır. Ayrıca hassasiyeti azaltmak için içerisinde potasyum nitrat ve yüksek oranda florür bulunduran diş macunları da kullanılabilir.